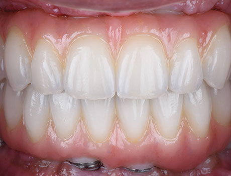
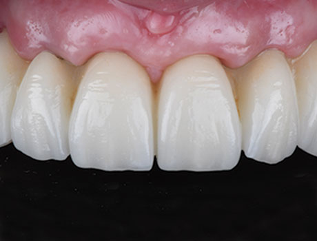
Niagara Dental Implant & Oral Surgery — Quality You Can Trust
At Niagara Dental Implant & Oral Surgery, we take pride in providing exceptional care backed by advanced technology, premium materials, and compassionate expertise. As the only practice with a standalone in-house dental lab and the exclusive certified TeethXpress® center serving Williamsville, New York, we deliver efficient, high-quality solutions including Teeth in a Day with precision, comfort, and confidence.